
近日,湛江骨科医院再次成功为多名患者完成人工髋关节置换术。

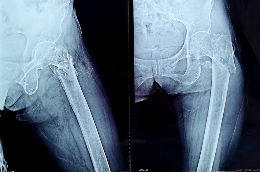
患者陈某,女性,身份证年龄102岁,实际年龄103岁,家住廉江横山镇某村。
入院:2022年10月8日;出院:2022年10月19日。
患者在家中不慎摔倒致右股骨颈骨折,不能站立及行走。家属送去多家医院都因年龄大,并发症多,拒绝接收,后通过朋友了解到到湛江骨科医院技术力量强、设备精良,多项骨科技术在粤西地区处于领先地位,特别是在老年髋部骨折手术治疗方面有丰富的经验,后慕名送到湛江骨科医院。


术前图像

术后图像
患者余某,男性,今年92岁,家住雷州纪家镇某村。
入院:2022年10月2日;出院:2022年10月19日。


术前图像

术后图像
患者陈某,女性,今年88岁,家住廉江新民镇某村。
入院:2022年10月1日;出院:2022年10月19日。


术前图像

术后图像
吴扬帆主任指出:一般老年人都有不同程度平衡力下降,较易摔跤致骨折,老年人骨折危害性大,建议家人要尽量做好预防,减少老人摔倒的发生,如意外发生,尽快到专科医院治疗。
湛江骨科医院是政府规划卫生重点建设项目,医院专家阵容强大、技术精湛、设备精良、环境优雅,分为七个骨科病区,设有脊柱外科,运动医学科,关节外科,创伤骨科,手足(显微)外科,小儿骨科,普通外科,中医骨科,康复科,针灸、推拿科,专业开展脊柱、关节、断肢(指、趾)再植、四肢骨折等各种高难度手术,在髋部骨折手术、康复治疗方面有一套先进的治疗经验,在粤西地区处于领先地位,建院以来,先后成功开展髋关节、膝关节等各类关节手术10000多例,治疗时间短、效果好,深受患者的推崇及信赖。

副主任医师
●湛江市医学会骨科分会委员
●湛江市医学会关节外科分会委员
●湛江市医院协会急诊急救管理专业委员会常务委员
毕业于广东医科大学,从事普通外科及创伤外科临床工作二十多年,积累了丰富的临床诊疗及手术经验,能熟练完成骨科及普通外科手术,擅长四肢、关节骨折手术、关节置换术、腰椎间盘突出摘除术、甲状腺、肝、胆、脾、胰、胃、肠等普通外科手术,同时对上臂、前臂骨折的手法复位及对骨折术后的功能康复采用中西结合进行调治,有独到之处。

Copyright 湛江骨科医院 版权所有 某ICP备12001567号 本网站信息仅供参考,不能作为诊疗及就医依据,本网站图片及商标权属医院所有,未经授权请勿复制及转载!